İki Taraflı Ses Teli Felci Nedir?
İki taraflı ses teli felci tanımının ne olduğunu anlayabilmemiz için önce ses tellerinin nasıl çalıştığına göz atmalıyız. Her insanda ses çıkarmaktan ve hava yolunu korumaktan sorumlu iki adet ses teli mevcuttur. Ses telleri, önde birbiri ile bağlı, geride ise birbirinden ayrılabilen bir şekilde gırtlak içerisinde yatay olarak bulunur. Nefes alıp verme ve konuşma sırasındaki hareketlerini V harfinin kollarının açılıp kapanmasına benzetebiliriz. Soluk alıp verirken açılır ve konuşurken kapanarak birbirlerine temas ederler.

Çift Taraflı Ses Teli Felci Nasıl Ortaya Çıkar?
İki taraflı ses teli felci, her iki ses telinin hareketinin kısıtlı olduğu durumları tarif etmek için kullanılan bir terimdir. Çift taraflı ses teli felcine yol açan durumlar arasında en sık görülen neden boyun bölgesinde yapılan ameliyatlardır. En sık neden tiroid (guatr) cerrahisidir. Boyun damarları ya da boyun fıtıklarının tedavisi için yapılan bazı ameliyatların ardından da ses teli felci görülebilir. Cerrahi nedenlerin yanı sıra; baş, boyun ya da göğüs bölgesindeki tümörler, aynı bölgeleri etkileyen künt ya da kesici yaralanmalar; herhangi bir nedenle yapılacak cerrahi sırasında ağızdan entübasyonla genel anestezi alınması da çift taraflı ses teli felcine yola açabilen durumlardır.
Çift Taraflı Ses Teli Felci Belirtileri Nelerdir?
Hastaların ana rahatsızlığı, solunum sıkıntısıdır. Solunum sıkıntısı, efor gerektiren durumlarda belirgin olarak artar. Beraberinde hafif ya da şiddetli ses problemleri de görülebilir. Uyku sırasında sesli nefes alma, horlama da belirgin olabilir.
Çift Taraflı Ses Teli Felci Tanısı Nasıl Koyulur?
Hastalığın tanısı, ses tellerinin nefes alıp verme ve ses çıkarma (fonasyon) sırasında görüntülenmesine ve mümkünse video kaydı alınmasına olanak sağlayan fleksibl fiberoptik larinks muayenesi veya videolaringostroboskopi gibi yöntemlerle koyulabilir.
İki Taraflı Ses Teli Felci Nasıl Tedavi Edilebilir?
Hastalığın tedavisi, solunum sıkıntısının azaltılmasına yöneliktir. Birbirine çok yakın olarak duran ses tellerinin birbirinden uzaklaştırılması esastır. Bunun için değişik tedavi yöntemleri kullanılabilir. Bunlar arasında ses tellerinin tutunduğu kıkırdaklarının bir kısmının çıkarılması, lazer ile hava yolunun açılması ve dikişlerle ses tellerinin pozisyonunun değiştirilmesi sayılabilir.
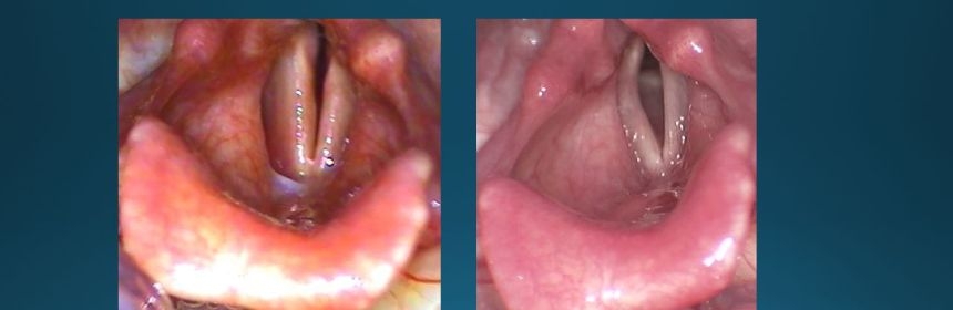
Ekteki fotoğrafta çift taraflı ses teli felci olan bir hastamızın tedavi öncesi (sol) ve sonrası (sağ) ses tellerini görebilirsiniz.

İki taraflı ses teli felci – Ameliyat öncesi ve sonrası görüntüleri – Prof.Dr. Haldun Oğuz
Ekteki videoda çift taraflı ses teli felci olan bir başka hastamızın tedavi öncesi ve sonrası ses tellerini görebilirsiniz.